有養毛小孩的家長經常會有這種經驗:我的xx東西怎麼不見了?在遍尋不著的情況下,轉頭看到你家的寶貝正傻不勒登的望著你傻笑,於是你開始心想:「不會吧?難道是在你的肚子裡?我要不要帶你去照X光啊?」甚至幾天後開始緊張兮兮的跟著狗兒後面檢查便便裡有沒有異物~
別懷疑,寵物會用你迅雷不及掩耳的速度吞下任何牠們感興趣的東西,而且不論年紀多小多老,或什麼動物,任何東西都可能在牠們的肚子裡找到!而從美國這些年來所舉辦的年度比賽,可以發現,吞下去的很少是貴重物品,只有一隻鸚鵡曾吞下昂貴的鑽石戒指。其他的多半是生活中隨手可得的小東西﹣﹣但其實不管牠們吞下去的東西價值多少,手術費用肯定不會因此而有價差的。
美國的寵物保險公司Veteriary Pet Insurance每年都會舉辦Hambone大賽﹣﹣紀念一隻吞下整條感恩節火腿而卡在冰箱的狗因此命名為Hambone,由各地獸醫提供吞下最令人匪夷所思的物品來角逐冠軍。而參賽的真是五花八門,令人嘆為觀止!包括吃了蜂箱的拉不拉多、吞了15個嬰兒奶嘴、瓶蓋和籃球的牛頭梗、吃了100多塊石頭的巴哥,今年的得主是一隻2歲的狗兒吃下2磅重的冷凍洋蔥圈袋子,並從洋蔥中毒後搶救回來,而治療她的獸醫獲得美金1萬元的頭獎奬金,將用來幫助那些付不起醫療費用的飼主。
而每年都會舉辦的They Ate What X光大賽,至今已舉辦了9年,2014年的冠軍是一隻吞下超過30塊石頭的寵物蛙,第二名是吞下烤肉串的波音獵犬,第三名則是住在波特蘭的大丹,X光片發現有大量異物,手術後取出居然是43隻加半隻襪子而一名成名,只是主人一下子不見了43隻襪子,難道不曾懷疑是狗兒闖的禍嗎?看到照片中那排成一整排的襪子,真的要它們被拉出來實在太困難了啦~好在經過手術隔天,大丹順利返家休息,開始下一個奇幻冒險旅程?



其他也同樣令人讚嘆(抑或是驚嚇?)不已的佳作獎得獎者包括:
連雞肝鉤子一起吞下的小狗,好在即使胃穿孔,經過抗生素治療後已康復。

吞下人形玩偶的5個月大小貓,難道這是要報復家中有新生兒的絕地大反攻嗎(暈),由於這個玩具靠近十二指腸,而它的「姆指」卡住,不能被移動逆行,所以不得不挨刀取出。

吞下一顆完整燈泡(驚嚇指數也快破錶)的10個月大黃金獵犬,在手術前吐了兩天,好在燈泡在肚子裡沒破掉,取出時仍完好無損。

吞下5隻黃色小鴨的狗兒,由於家中有3歲幼兒,每次浴缸裡的黃色小鴨搞失蹤媽媽就再買一個新的,沒想到通通進了小狗的肚子裡@@


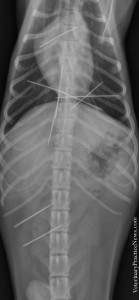
吞下9根針的吉娃娃~你沒看錯,是9根針,而牠是因為肩跛行被帶去看醫生才發現體內有9根縫衣針,推測是吞下一包針,而跛行應該是針戳到肱區造成~

吞下花壇裡的碎石的12歲科基公犬,研判應該是主人在上面烤肉,油脂滴到碎石裡,使牠去吞下石頭,所幸手術後無大礙。

吞下104枚硬幣(pennies)的2歲巴哥,零錢還是用罐子裝起來另外收好,以免小狗成了活體存錢筒,手術的費用高過那些零錢的豈止百倍呀?

吞下折疊小刀的拉不拉多,這個厲害了,餐桌上的9.2*2.3cm的折疊刀都吞得進去,還有什麼吞不下的呢!

吞下小主人正在玩的沙包的4個月大的黃金獵犬幼犬,一臉無辜樣,白白挨一刀來取出沙包。


最後一個是,吞下女主人胸罩的獵鼠梗犬,不得了,這種梗犬活潑好動,只是追獵物怎會把主人的內衣都喀了?從X光片裡發現內衣的環扣證實是被吞下肚,而經由胃及小腸的手術也順利取出內衣殘骸,從此牠再也不准進去洗衣間了。

2013年的The Ate What X光大賽也令人瞠目結舌,毛孩吞下去肚的東西什麼都可以吞,什麼都不奇怪,第一位得獎者是隻六個月大的鬥牛犬,吞下的是一根2英吋長的鐵線。而第二位得獎者則是在一隻傑克羅素梗奬犬的肚子裡發現一隻10吋半的的麵包刀!好在經過手術緊急取出,都沒有危及生命。其他的還包括各式各樣奇怪的東西,包括毛孩吐出木片,才知道牠吞了搔癢的木造不求人!以及一隻貓在年度健檢時照到有一團不明物,主人選擇安樂死經解剖後才取出一大團糾結的毛髮!看來,要節省龐大的醫療費用,首先就是應該收好家裡的物品,以及看好自家的毛孩,尤其是幼幼們。千萬別太相信自己的毛小孩不會亂吃東西,尤其等到牠們出現不舒服症狀而就醫時,往往檢查更耗時間,當然家長的荷包也要大失血,重要的是可能愈晚發現確診愈可能傷害毛小孩的生命~大家可以自行點閱囉!

資料來源:http://www.veterinarypracticenews.com/2014-X-Ray-Contest-Winners/


